歡迎參加我們的健康講座活動,西園醫院關心您的健康,每月定期規劃一系列課程,包括院內健康講座、社區健康活動,更多活動訊息,歡迎洽詢衛教室及社區醫學科。服務電話:(02)2307-6968 #1527
認識醫師 門診掛號 圖片來源:AI

因為診斷明確,不用切片,肝膽外科立刻安排手術。陳先生術後恢復順利,現在每三個月回診追蹤,目前一切穩定。他說:「幸好有這次檢查,不然我還不知道自己有事。」
第二位:70歲的林女士
她這一年常覺得喘、右上腹隱隱脹脹,體重也掉了幾公斤。腹部超音波發現:
膽囊多發性結石
總膽管明顯擴張(約2.5公分)
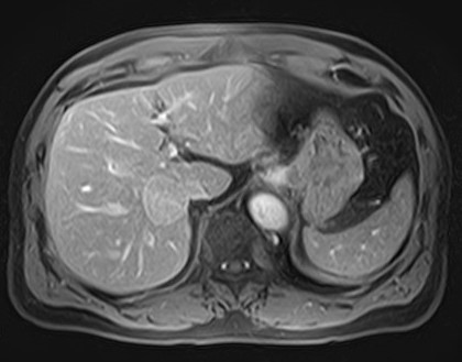
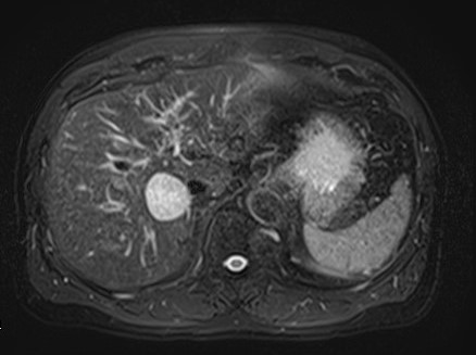
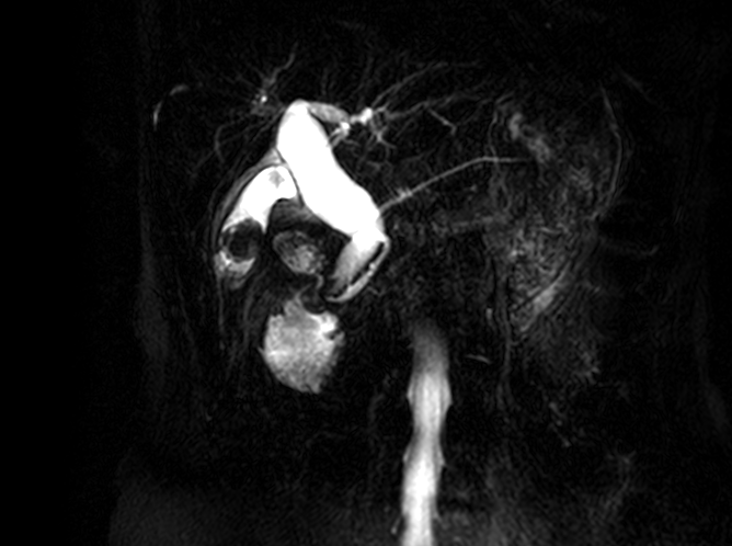
醫師懷疑不只是結石那麼單純,轉至本中心做MRCP(磁振膽胰管攝影)。
影像顯示:整個總膽管呈現紡錘狀擴張,符合「先天性總膽管囊腫」(成人型,Type I)。這種情況在成人很少見,100個人裡大概只有10-20個會出現症狀,常見的是腹痛、黃疸,或反覆膽管發炎。更重要的是,這類囊腫長久下來,發生膽管癌的機率比一般人高10-20倍。林女士目前沒有急性發炎,目前先用藥物控制症狀,每6個月回來做一次核磁共振追蹤,暫時不需要開刀。她說:「現在知道是什麼問題,內心平靜多了。」
簡單整理核磁共振的優點
沒有輻射線,可以安心重複檢查
對肝腫瘤的診斷準確率很高,常不用切片就能確定
能一次把膽管、胰管整個照清楚,無侵入性
而且發現問題越早,治療選項越多
最後想說
本中心即將推動一項全新的慢性肝病高風險族群肝癌快速篩檢計畫,對象包含 B 型或 C 型肝炎帶原者。未來檢查流程僅需 15 至 20 分鐘即可完成,不僅省時便利,診斷準確率也將明顯優於目前常規使用的定期腹部超音波篩檢。
此一創新篩檢方式,將有助於更早期發現肝癌,對於肝癌高危險群患者而言,無疑是一項重要且令人振奮的福音。
| 傳統手術 | 腹腔鏡手術 | |
| 手術時間 | 2-4小時 | 3-5小時 |
| 出血量 | 多 | 少 |
| 術後傷口 | 20-25公分 | 一個3-5公分,多個0.5-1公分 |
| 術後疼痛 | 嚴重 | 輕微 |
| 住院天數 | 長 | 短 |
| 手術費用 | 低 | 高 |
認識醫師 門診掛號 圖片來源:AI

因為診斷明確,不用切片,肝膽外科立刻安排手術。陳先生術後恢復順利,現在每三個月回診追蹤,目前一切穩定。他說:「幸好有這次檢查,不然我還不知道自己有事。」
第二位:70歲的林女士
她這一年常覺得喘、右上腹隱隱脹脹,體重也掉了幾公斤。腹部超音波發現:
膽囊多發性結石
總膽管明顯擴張(約2.5公分)
醫師懷疑不只是結石那麼單純,轉至本中心做MRCP(磁振膽胰管攝影)。
影像顯示:整個總膽管呈現紡錘狀擴張,符合「先天性總膽管囊腫」(成人型,Type I)。這種情況在成人很少見,100個人裡大概只有10-20個會出現症狀,常見的是腹痛、黃疸,或反覆膽管發炎。更重要的是,這類囊腫長久下來,發生膽管癌的機率比一般人高10-20倍。林女士目前沒有急性發炎,目前先用藥物控制症狀,每6個月回來做一次核磁共振追蹤,暫時不需要開刀。她說:「現在知道是什麼問題,內心平靜多了。」
簡單整理核磁共振的優點
沒有輻射線,可以安心重複檢查
對肝腫瘤的診斷準確率很高,常不用切片就能確定
能一次把膽管、胰管整個照清楚,無侵入性
而且發現問題越早,治療選項越多
最後想說
本中心即將推動一項全新的慢性肝病高風險族群肝癌快速篩檢計畫,對象包含 B 型或 C 型肝炎帶原者。未來檢查流程僅需 15 至 20 分鐘即可完成,不僅省時便利,診斷準確率也將明顯優於目前常規使用的定期腹部超音波篩檢。
此一創新篩檢方式,將有助於更早期發現肝癌,對於肝癌高危險群患者而言,無疑是一項重要且令人振奮的福音。
| 傳統手術 | 腹腔鏡手術 | |
| 手術時間 | 2-4小時 | 3-5小時 |
| 出血量 | 多 | 少 |
| 術後傷口 | 20-25公分 | 一個3-5公分,多個0.5-1公分 |
| 術後疼痛 | 嚴重 | 輕微 |
| 住院天數 | 長 | 短 |
| 手術費用 | 低 | 高 |
歡迎參加我們的健康講座活動,西園醫院關心您的健康,每月定期規劃一系列課程,包括院內健康講座、社區健康活動,更多活動訊息,歡迎洽詢衛教室及社區醫學科。服務電話:(02)2307-6968 #1527
| 主題: | 如何用藥才安全 |
| 日期: | 3/7(一) 10:00-10:30 |
| 地點: | 2樓家醫科候診區 |
| 講者: | 藥師 |
| 主題: | 認識代謝症候群 |
| 日期: | 3/17(四) 09:30-10:00 |
| 地點: | 2樓家醫科候診區 |
| 講者: | 郭志豪 醫師 |
| 主題: | 銀髮族體適能7 |
| 日期: | 3/3(四) 10:30-11:30 |
| 地點: | 小德蘭堂(興寧街70號)(限60歲以上,報名電話02-23028934) |
| 講者: | 高祥傑 教練 |
| 主題: | 為什麼會腰痠背痛,如何預防與治療呢! |
| 日期: | 3/10(四) 10:00-11:30 |
| 地點: | 以馬內利教會(中華路二段504巷45號)(報名電話02-23031453) |
| 講者: | 張偉德 醫師 |
| 主題: | 銀髮族體適能8 |
| 日期: | 3/10(四) 10:30-11:30 |
| 地點: | 小德蘭堂(興寧街70號)(限60歲以上,報名電話02-23028934) |
| 講者: | 高祥傑 教練 |
| 主題: | 銀髮族體適能9 |
| 日期: | 3/17(四) 10:30-11:30 |
| 地點: | 小德蘭堂(興寧街70號)(限60歲以上,報名電話02-23028934) |
| 講者: | 高祥傑 教練 |
| 主題: | 「鈣」世武功,給你好骨氣!飲食迷思 |
| 日期: | 3/23(三) 09:30-11:30 |
| 地點: | 華興教會(西藏路217號)(限60歲以上,報名電話02-23015171) |
| 講者: | 謝宜珊 營養師 |
| 主題: | 免費健康檢查報乎你知 |
| 日期: | 3/23(三) 13:00-13:30 |
| 地點: | 雙園靈糧福音中心(西園路二段362號4樓)(預先報名,電話:02-23077700) |
| 講者: | 李玉娟 護理師 |
| 主題: | 銀髮族體適能10 |
| 日期: | 3/24(四) 10:30-11:30 |
| 地點: | 小德蘭堂(興寧街70號)(限60歲以上,報名電話02-23028934) |
| 講者: | 高祥傑 教練 |
| 主題: | 牽一髮動全身 慢性疼痛和您想的不一樣 |
| 日期: | 3/30(三) 10:00-11:30 |
| 地點: | 萬青教室(萬大路411號2樓)(預先報名,電話:02-23317158) |
| 講者: | 黃靖芝 物理治療師 |
歡迎參加我們的健康講座活動,西園醫院關心您的健康,每月定期規劃一系列課程,包括院內健康講座、社區健康活動,更多活動訊息,歡迎洽詢衛教室及社區醫學科。服務電話:(02)2307-6968 #1527
| 主題: | 慢性病的心理調適 |
| 日期: | 2/14(一) 10:00-10:30 |
| 地點: | 2樓家醫科候診區 |
| 講者: | 陳孟儒 心理師 |
| 主題: | 免費健康檢查報乎你知 |
| 日期: | 2/25(五) 10:00-10:30 |
| 地點: | 2樓家醫科候診區 |
| 講者: | 護理師 |
| 主題: | 銀髮族體適能5 |
| 日期: | 2/17(四) 10:30-11:30 |
| 地點: | 小德蘭堂(興寧街70號)(限60歲以上,報名電話02-23028934) |
| 講者: | 高祥傑 教練 |
| 主題: | 銀髮族體適能6 |
| 日期: | 2/24(四) 10:30-11:30 |
| 地點: | 小德蘭堂(興寧街70號)(限60歲以上,報名電話02-23028934) |
| 講者: | 高祥傑 教練 |
歡迎參加我們的健康講座活動,西園醫院關心您的健康,每月定期規劃一系列課程,包括院內健康講座、社區健康活動,更多活動訊息,歡迎洽詢衛教室及社區醫學科。服務電話:(02)2307-6968 #1527
| 主題: | 認識糖尿病 |
| 日期: | 1/3(一) 14:30-15:00 |
| 地點: | 2樓家醫科候診區 |
| 講者: | 個管師 |
| 主題: | 年節飲食 聰明吃 |
| 日期: | 1/17(一) 10:00-10:30 |
| 地點: | 2樓家醫科候診區 |
| 講者: | 營養師 |
| 主題: | 銀髮族體適能1 |
| 日期: | 1/6(四) 10:30-11:30 |
| 地點: | 小德蘭堂(興寧街70號)(限60歲以上,報名電話02-23028934) |
| 講者: | 高祥傑 教練 |
| 主題: | 銀髮族體適能2 |
| 日期: | 1/13(四) 10:30-11:30 |
| 地點: | 小德蘭堂(興寧街70號)(限60歲以上,報名電話02-23028934) |
| 講者: | 高祥傑 教練 |
| 主題: | 認識及預防糖尿病腎病變 |
| 日期: | 1/19(三) 10:00-11:30 |
| 地點: | 萬青教室(萬大路411號2樓)(預先報名電話:02-23317158) |
| 講者: | 陳慧君 個管師 |
| 主題: | 銀髮族體適能3 |
| 日期: | 1/20(四) 10:30-11:30 |
| 地點: | 小德蘭堂(興寧街70號)(限60歲以上,報名電話02-23028934) |
| 講者: | 高祥傑 教練 |
| 主題: | 護腎保平安 |
| 日期: | 12/24(五) 09:30-10:30 |
| 地點: | 保德里民活動中心隔壁(東園街140巷8號) |
| 講者: | 陳慧君 個管師 |
歡迎參加我們的健康講座活動,西園醫院關心您的健康,每月定期規劃一系列課程,包括院內健康講座、社區健康活動,更多活動訊息,歡迎洽詢衛教室及社區醫學科。服務電話:(02)2307-6968 #1527
| 主題: | 預防冬季呼吸道感染 |
| 日期: | 12/6(一) 10:00:10:30 |
| 地點: | 2樓家醫科候診區 |
| 講者: | 趙晴芳 感控師 |
| 主題: | 戒菸讓你我健康 |
| 日期: | 12/13(一) 14:30-15:00 |
| 地點: | 2樓家醫科候診區 |
| 講者: | 廖樂臻 個管師 |
| 主題: | 我與睡眠的華爾滋 |
| 日期: | 12/20(一) 10:00:10:30 |
| 地點: | 2樓家醫科候診區 |
| 講者: | 陳孟儒 心理師 |
| 主題: | 健康樂活動一動20 |
| 日期: | 12/2(四) 10:30-11:30 |
| 地點: | 小德蘭堂(興寧街70號)(限60歲以上,報名電話02-23028934) |
| 講者: | 高祥傑 教練 |
| 主題: | 強化免疫力 吃出好食力 |
| 日期: | 12/3(五) 09:30-10:30 |
| 地點: | 保德里民活動中心隔壁(東園街140巷8號) |
| 講者: | 營養師 |
| 主題: | 我與睡眠的華爾滋 |
| 日期: | 12/10(五) 09:30-10:30 |
| 地點: | 保德里民活動中心隔壁(東園街140巷8號) |
| 講者: | 陳孟儒 心理師 |
| 主題: | 守護自由的銀髮人生 |
| 日期: | 12/23(四) 14:00-15:00 |
| 地點: | 萬華區石頭湯據點(德昌街180號1樓,報名電話02-2305-9181) |
| 講者: | 陳雨青 社工 |
| 主題: | 護腎保平安 |
| 日期: | 12/24(五) 09:30-10:30 |
| 地點: | 保德里民活動中心隔壁(東園街140巷8號) |
| 講者: | 陳慧君 個管師 |
歡迎參加我們的健康講座活動,西園醫院關心您的健康,每月定期規劃一系列課程,包括院內健康講座、社區健康活動,更多活動訊息,歡迎洽詢衛教室及社區醫學科。服務電話:(02)2307-6968 #1527
| 主題: | 認識DNR |
| 日期: | 11/1(一) 10:00:10:30 |
| 地點: | 2樓家醫科候診區 |
| 講者: | 陳雨青 社工 |
| 主題: | 用藥安全 |
| 日期: | 11/8(一) 10:00:10:30 |
| 地點: | 2樓家醫科候診區 |
| 講者: | 藥師 |
| 主題: | 健康樂活動一動16 |
| 日期: | 11/4(四) 10:30-11:30 |
| 地點: | 小德蘭堂(興寧街70號)(限60歲以上,報名電話02-23028934) |
| 講者: | 高祥傑 教練 |
| 主題: | 淺談尿酸與痛風 |
| 日期: | 11/10(三) 09:30-11:30 |
| 地點: | 華興教會(西藏路217號)(限60歲以上,報名電話02-23015171) |
| 講者: | 劉品 醫師 |
| 主題: | 健康樂活動一動17 |
| 日期: | 11/11(四) 10:30-11:30 |
| 地點: | 小德蘭堂(興寧街70號)(限60歲以上,報名電話02-23028934) |
| 講者: | 高祥傑 教練 |
| 主題: | 健康樂活動一動18 |
| 日期: | 11/18(四) 10:30-11:30 |
| 地點: | 小德蘭堂(興寧街70號)(限60歲以上,報名電話02-23028934) |
| 講者: | 高祥傑 教練 |
| 主題: | 健康樂活動一動19 |
| 日期: | 11/25(五) 10:30-11:30 |
| 地點: | 小德蘭堂(興寧街70號)(限60歲以上,報名電話02-23028934) |
| 講者: | 高祥傑 教練 |
歡迎參加我們的健康講座活動,西園醫院關心您的健康,每月定期規劃一系列課程,包括院內健康講座、社區健康活動,更多活動訊息,歡迎洽詢衛教室及社區醫學科。服務電話:(02)2307-6968 #1527
| 主題: | 暫停院內講座至10月底 |
| 日期: | - |
| 地點: | - |
| 講者: | - |
| 主題: | 健康樂活動一動12 |
| 日期: | 10/7(四) 10:30-11:30 |
| 地點: | 小德蘭堂(興寧街70號)(限60歲以上,報名電話02-23028934) |
| 講者: | 高祥傑 教練 |
| 主題: | 智在樂活 |
| 日期: | 10/8(五) 10:30-11:30 |
| 地點: | 小德蘭堂(興寧街70號)(限60歲以上,報名電話02-23028934) |
| 講者: | 陳孟儒 心理師 |
| 主題: | 健康樂活動一動13 |
| 日期: | 10/14(四) 10:30-11:30 |
| 地點: | 小德蘭堂(興寧街70號)(限60歲以上,報名電話02-23028934) |
| 講者: | 高祥傑 教練 |
| 主題: | 健康樂活動一動14 |
| 日期: | 10/21(四) 10:30-11:30 |
| 地點: | 小德蘭堂(興寧街70號)(限60歲以上,報名電話02-23028934) |
| 講者: | 高祥傑 教練 |
| 主題: | 提升免疫力,健康不費力 |
| 日期: | 10/22(五) 10:30-11:30 |
| 地點: | 小德蘭堂(興寧街70號)(限60歲以上,報名電話02-23028934) |
| 講者: | 鍾佩璇 營養師 |
| 主題: | 愛腎保健康 |
| 日期: | 10/27(三) 09:30-11:30 |
| 地點: | 華興教會(西藏路217號)(限60歲以上,報名電話02-23015171) |
| 講者: | 陳慧君 個管師 |
| 主題: | 健康樂活動一動15 |
| 日期: | 10/28(四) 10:30-11:30 |
| 地點: | 小德蘭堂(興寧街70號)(限60歲以上,報名電話02-23028934) |
| 講者: | 高祥傑 教練 |
歡迎參加我們的健康講座活動,西園醫院關心您的健康,每月定期規劃一系列課程,包括院內健康講座、社區健康活動,更多活動訊息,歡迎洽詢衛教室及社區醫學科。服務電話:(02)2307-6968 #1527
| 主題: | 認識胰島素 |
| 日期: | 4/21(三) 14:00-14:30 |
| 地點: | 二樓家醫科候診區 |
| 講者: | 馬世明 醫師 |
| 主題: | 健康樂活動一動 10 |
| 日期: | 4/1(四) 10:30-11:30 |
| 地點: | 小德蘭堂(興寧街70號)(限60歲以上,報名電話02-23028934) |
| 講者: | 高祥傑 教練 |
| 主題: | 腎利人生保健康 |
| 日期: | 4/9(五) 09:30-10:30 |
| 地點: | 萬華長順區民活動中心(長順街123巷)(開放現場報名) |
| 講者: | 陳慧君 個管師 |
| 主題: | 健康檢查報你知 |
| 日期: | 4/9(五) 10:30-11:30 |
| 地點: | 萬華長順區民活動中心(長順街123巷)(開放現場報名) |
| 講者: | 李玉娟 護理師 |
| 主題: | 健康飲食-三蔬二果 防失智 |
| 日期: | 4/13(二) 14:00-16:00 |
| 地點: | 民本電台(台北市環河南路三段325號7樓)(報名電話02-23013195) |
| 講者: | 余思汶 營養師 |
| 主題: | 健康體適能 |
| 日期: | 4/28(三) 09:30-11:30 |
| 地點: | 華興教會(西藏路217號)(限60歲以上,報名電話02-23015171) |
| 講者: | 高祥傑 教練 |
本院腸胃肝膽內科自2025年1月起,提供「膠囊內視鏡檢查」服務,精準抓出病灶,為腸胃消化道的健康嚴格把關,歡迎諮詢腸胃肝膽內科 葉勇呈醫師門診。依據統計,5-10%之腸胃道出血位於小腸,而1-5%的腸胃道腫瘤位於小腸部位,「膠囊內視鏡」的優勢可以觀察到傳統內視鏡檢難以檢查的小腸深部,當經過大腸鏡與胃鏡檢查後仍無法明確診斷出血原因時,可利用它進行檢查與診斷,因此「膠囊內視鏡」具有重要診斷價值。 「膠囊內視鏡檢查」是利用一個約1公分大包覆完整的微型攝影機膠囊,經吞入口中後,經由口腔,進入食道、胃、小腸、大腸,以每秒2張照片以上的影像拍攝速度連續拍攝8小時以上,來獲取消化道內的影像資料;透過胃腸蠕動使其前進,並記錄消化道內部情形,最後經肛門口自然排出。檢查不需要住院且不影響作息,僅需於檢查完畢後交回接收器。
自發性冠狀動脈剝離(SCAD,spontaneous coronary artery dissection)逐漸被認為是非創傷性、非動脈粥樣硬化導致急性冠心症(0.1–4.0%)及心因性猝死(0.4%)的病因之一。90% SCAD患者為年輕女性和年齡47~53歲女性,男性也可能發生,且為周產期心肌梗塞發生率最高的疾病。侵入性冠狀動脈血管攝影(ICA)為診斷和治療SCAD的主要影像檢查,對於血流動力學不穩定或心肌灌注不足的患者,可能考慮此介入性治療,但考慮此治療對於SCAD患者可能有較高的併發症發生,因此大多數血流動力學穩定和非高風險的患者建議採取保守治療。對於復發或侵入性血管攝影檢查無法確診者,可考慮以冠狀動脈電腦斷層血管攝影檢查(CCTA)追蹤評估。 ▎致病機轉及病生理特徵 SCAD被定義為非動脈粥狀硬化、創傷或醫源性所導致的自發性動脈壁血腫形成,可發生在三層動脈壁(內膜、中膜和外膜層)的任何一層內或之間,但最常發生在中膜層內。其致病機轉主要為兩個假說:(1)內膜撕裂假說,主要是內膜管腔交界面撕裂後血流破入形成壁內血腫和假腔,導致動脈壁分離。(2)中膜層出血假說,主要是血管滋養管壓力升高破裂形成壁內血腫。 ▎病因和臨床關聯 SCAD的誘發因素多樣,主要包括: 1. 纖維肌性發育不良(fibromuscular dysplasia):為最常見動脈病變(50%~86%),女性盛行率較高(男女比為9:1),中膜層纖維發育不良為最常見的類型,多發性病灶導致交互管腔狹窄和擴張交替發生,形成血管攝影上表現特徵性 「串珠狀string-of-beads」的影像表現。 2. 妊娠相關SCAD:病例占不到5%,經產婦的發生率較高,而70%以上發生在產後。妊娠相關 SCAD患者的臨床表現更為嚴重。 3. 發炎性疾病(自體免疫疾病) 4. 遺傳因素:如遺傳性動脈病變、結締組織疾病和馬凡氏症候群 5. 誘發因素:極端的身體和情緒壓力為最常見的誘發因素 大多數患者會出現急性冠心症的症狀,如:胸部不適或疼痛(96%)、心室性心律不整(11%)和心臟驟停(1%)等。心電圖異常可能包括ST段上升心肌梗塞(STEMI)、非ST段上升心肌梗塞,以及非特異性ST-T波形變化。大多數急性冠心症患者出現高敏感性心肌旋轉蛋白升高。 ▎冠狀動脈電腦斷層血管攝影檢查(CCTA)之影像特徵 CCTA 在 SCAD 的診斷中提供了重要的影像資訊,主要為四個特徵包括: 1. 突然管腔狹窄(長度0.5毫米內直徑變化>50%),約占64%。 2. 逐漸管腔狹窄(長度5.0mm長度內直徑變化>50%),36%。 3. 壁內血腫(IMH),定義為血管壁增厚。 4. 對比劑填充的假腔和真腔之間出現低密度線樣內膜剝離。< 大多數冠狀動脈管腔狹窄與IMH會一起出現,特別是多條血管SCAD的患者。左前降枝冠狀動脈為最常見的動脈,其次是左迴旋枝冠狀動脈和右冠狀動脈,10%~15%病例發生多條血管病變。次要影像發現包括心外膜及血管周圍脂肪浸潤(42%),無對比劑CT顯示鄰近冠狀動脈處出現邊緣不清晰的高密度組織,冠狀動脈迂曲(29%)、心肌灌注不足(50%)、心肌橋、無冠狀動脈鈣化、血管阻塞合併遠端無血流,及冠狀動脈瘤或擴張。 ▎CCTA之SCAD診斷分型(參考ICA之Saw分類) 第1型SCAD:可見分割管腔之剝離的內膜薄層(CCTA診斷具挑戰性,特別是SCAD好發的小動脈或遠端動脈)(50%) 第2型SCAD:突然變細和長管腔狹窄(需與自然變細的血管區別)(~30%) 第3型SCAD:局部短節段管腔狹窄(需與非鈣化斑塊區別)(< 5%)

SCAD之CCTA分類:左圖為第1型SCAD可見分割管腔之剝離的內膜薄層(箭頭),中圖為第2型SCAD呈現大於20毫米程度嚴重之瀰漫性平滑狹窄(箭頭),為第3型SCAD顯示局部短節段嚴重狹窄(通常小於<20mm)(箭頭)。RadioGraphics 2021; 41:1897-1915
35歲女性出現劇烈胸痛,CCTA(左圖)及血管攝影檢查(右圖)顯示左前降枝冠狀動脈遠端呈現突然變細、平滑且瀰漫性之嚴重狹窄(箭頭)。Radiology: Cardiothoracic Imaging 2020; 2(6):e200364
▎SCAD之鑑別診斷
1. 冠狀動脈痙攣
2. 急性冠狀動脈栓塞或血栓
3. 部分血栓性冠狀動脈瘤
4. 呼吸運動或心跳變異,造成的階梯或心搏假影
5. 心肌炎、Takotsobu心肌病變、冠狀動脈非阻塞性心肌梗塞可能與SCAD有相似的表現。SCAD為急性冠心症的病因之一,特別影響年輕和中年女性。及時並準確地診斷 SCAD非常重要,其治療方式與傳統急性粥狀硬化性冠狀動脈疾病的有很大差異。雖然侵入性冠狀動脈血管攝影(ICA)仍然為一線影像檢查,但 CCTA在血流動力學穩定的SCAD患者的診斷和追蹤中發揮重要作用。儘管最近多排CT取得進展,但SCAD的診斷仍然具有挑戰性,特別是遠端冠狀動脈節段。了解CCTA 的主要發現、限制以及相輔其他影像對於,避免誤診至關重要。
為照護民眾眼部健康,本院眼科引進最新「OCT-3D眼底斷層掃描」檢查服務,就如電腦斷層及磁振造影的發展對臨床醫學帶來的便利與革新,OCT眼底檢查能看出視網膜下的病灶,清楚的掌握視網膜各層的病變。對於較細微的黃斑部病變,OCT可以提供肉眼看不到的橫斷切面影像,也可以計算出以往以肉眼無法評估的視網膜厚度,提供眼科醫師更精準的診斷與治療。另外,以往青光眼患者被發現時已有視野缺損,視神經已壞,近期研究發現,眼壓高時,即使視野並無任何缺損,視網膜組織細胞就有變薄的跡象,因此OCT檢查可以發揮早期診斷早期治療的優勢,保存更多的視覺功能。 在現今用眼過度的時代,許多手機及3C產品的殘害下,不只是近視會持續加深,黃斑部病變、青光眼及飛蚊症...等病變發生率也持續攀升,對於三高風險族群,更需要定期做眼底檢查,以保護眼睛,避免更多的傷害。民眾如有相關需求,歡迎諮詢眼科門診。
預約門診-眼科
眼底鏡與OCT在健診上的應用
|
肌少症及代謝症候群高風險族群 |
|
體重 39.1kg 體脂率 32.3% BMI 19.3kg/m2 內臟脂肪VAT 53.3cm2 (正常) 四肢骨骼肌 4.59kg/m2 質量指數ASMI 有肌少症風險 (肌肉質量不足) |

(圖1) 連續體(continuum)從正常(指帶有阿茲海默症生物標記陽性的無症狀個體)過渡到輕度認知障礙(MCI)最終轉變為失智症。Lancet 2021; 397: 1577–90

(圖2) 大腦類澱粉蛋白累積(Amyloid plaques)和阿茲海默失智症(AD dementia)的發生之間,大約有10年的延遲,取決於發病年齡。Alzheimer’s & Dementia 7 (2011) 280-92

(圖3) 連續體生物標記和臨床症狀之間時間關係的分期模型,代表MRI評估腦部結構的藍線最貼近代表認知功能改變的紫線。Alzheimer’s & Dementia 7 (2011) 280-92
版權所有 未經同意不得使用。醫療機構網際網路資訊管理辦法聲明:禁止任何網際網路服務業者轉錄本網路資訊之內容供人點閱。